Coronavirus In Dogs In India
High fatality 50 100 in acute cpv infection is probably the result of complications due to. Coronavirus a highly contagious infection which affects the intestinal tract in dogs is spreading across the city.
Veterinarians Caution Pet Owners About Coronavirus In Dogs
There is no cure it is passed from one organism to another and it is self limiting.
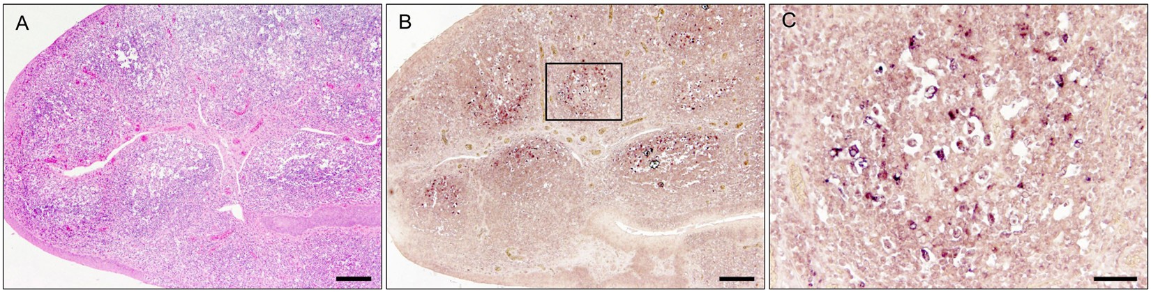
Coronavirus in dogs in india. This virus is similar to the common cold that humans suffer from. Canine coronavirus is a pathogenic virus that causes an infectious disease in dogs regardless of factors such as age or breed although it is true that puppies are most susceptible to the virus. Dogs with case fatality rate of 1778 percent. Introduction canine parvocirus cpv and canine coronavirus ccv infections have been recognized as most common causes of vomition and haemorrhagic diarrhea in young puppies and adolescent dogs. The world health organization who has called for an emergency meeting of experts on january 22 to assess whether the coronavirus outbreak constitutes an international emergency. China coronavirus claims 4 lives who emergency meet on jan 22. January 21 2020 146 pm. Known as canine respiratory coronavirus crcov and found to be similar to strain oc43 of bovine and human coronaviruses it was first isolated in the united kingdom in 2003 from lung samples of dogs and has since been found on the european mainland and. It is an acute disease. All you need to know. Recently a second type of canine coronavirus group ii has been shown to cause respiratory disease in dogs. And cpv 2 infections in gastroenteritic dogs by us ing semi nested rt pcr and semi nested pcr to detect ccv rna and cpv 2 dna respectively in fecal specimens derived from gastroenteritic dogs and healthy dogs. Veterinarians say they have seen at least seven dogs infected with. Prevalence of canine coronavirus and parvovirus infections in dogs with gastroenteritis in thailand.
Canine Coronavirus Infection In Dogs Symptoms Causes
Coming Soon India S First War Memorial For Animals India
Everything You Need To Know About Canine Coronavirus Vaccine
Veterinary Doctors Warn Of Viral Illness Outbreak Among
Stray Dog Saves Life Of Indian Doctor Who Saved Her India
Can The Deadly Coronavirus Be Carried And Spread By Your Pets
Everything You Need To Know About Coronavirus In Dogs
Canine Coronavirus Infection In Dogs
Mumbai Sees Record Low In The Number Of Deaths From Rabies
Do India S Stray Dogs Kill More People Than Terror Attacks
Cruelty Against Stray Animals On The Rise In India Amid Lack
Roaming Packs Of Feral Dogs Kill Six Children In India
Asha As A Stray Joins Kolkata Police Inducting Them
Stray Mongrel Beats Pedigrees To Become Elite Indian Sniffer Dog
How Delhi Abandons Top Breeds Of Dogs After Initial Show Off
Woman Fined Rs 3 60 Lakh By Housing Society In Mumbai For
Asha As A Stray Joins Kolkata Police Inducting Them
How To Carry Your Pet In Train Rules And Charges
Woman 65 Dies Of Rabies After Being Bitten By A Puppy In
Indian State S Plans To Cull Stray Dogs Hits Opposition Cnn
Delhi Police S Babu Is India S Top Dog Delhi News Times
Dog Owner Detained For Election Campaigning In India New
Two India Students Arrested For Throwing Dog Off Roof Bbc News
No The Indian Army Does Not Kill Its Dogs After Retirement
Why Dogs In An Indian Neighborhood Are Turning Blue Fox News
Farmer Paints Dog Like Tiger To Protect Crop From Monkeys
Villagers Take Revenge After Stray Dogs Maul Three Children
Indian Army Buzo Roma Devil Canine Brave Hearts On
Durvet Canine Spectra 9 With Syringe 1 Booster Dose At Tractor Supply Co
Too Many Dogs A Simple Solution For Sterilization Wsj
Woman Dies From Rabies After Rescuing Puppy While On
Emergence Of Pathogenic Coronaviruses In Cats By Homologous
Puppies Shots Chart Schedule And Cost Your Puppy
Why Are Dogs Turning Blue In India The Standard
Expensive Dog Breeds Not Meant For Indian Climate Thepost24
Peta India Sends Letters To Olx Quikr To Ban Online Sale Of
India S Rabies Vaccine Shortages May Be Gone Forever Vax
Army Veteran Turned Away By Indian Restaurant Because He Had
Doctors Thought A Woman Was Having A Panic Attack She
The Problem Of Plenty Managing India S Stray Dog Population
10 Most Expensive Dog Breeds In India
India Dog Cull Causes Controversy And Heartache Bbc News
Royal Rajapalayam Times Of India
Kintamani Dog Becomes First Indonesian Breed To Get
Newborn Baby Mauled To Death By Dogs At India Hospital
90 Dogs Found Dead With Muzzles Legs Tied In Maharashtra
Stray Dog Population On The Rise In Hyderabad
Dog Vaccinations 101 Guide And Why It Is An Essential
Novel Canine Circovirus Strains From Thailand Evidence For
Food Groups Scent Profits In India S Pet Boom Financial Times
Want A Pet Dog It S All In Your Genes Science
Street Dogs Poisoned Dumped In Telangana S Siddipet The
Gujarat Going To The Dogs Reports 1 000 Dog Bites A Day
The Comeback Of Indian Native Dog Breeds The Hindu
Dog Dies After Being Gang Raped Mutilated By 4 Alleged Drug
India S Republic Day Parade Look Out For The Marching Dogs
Paul O Grady For The Love Of Dogs Reveals Paul O Grady S
Pdf Viruses Causing Diarrhoea In Dogs
Farmer Paints Stripes On Dog To Make It Look Like A Tiger In
Retired Army Dogs Enjoy All Creature Comforts At Meerut S
Megavac 7 Veterinary Products1 Com
Explained What Is Coronavirus Explained News The Indian
Dog Puppy Vaccination Schedule Dog Vaccination Costs
Intestinal Viral Infection Rotavirus In Dogs Symptoms
Soldiers At Rest A Peek Into The Cushy Lives Of Retired
India Bans Import Of Dogs For Breeding Other Commercial
Indian City Bans Children From Walking Alone After Seven
Killer Dogs Take 14 Lives Did Closing Slaughterhouses Play
Video Leopard Savagely Attacks Sleeping Dog In India What
Here S Why Stray Dogs Of Mumbai Are Turning Blue The New
10 Most Expensive Dog Breeds In India
Pakistan To Vaccinate Stray Dogs In A Bid To Stamp Out Rabies
Coronavirus Disease Symptoms Infection Treatment Vaccine
India Feral Dogs Kill Children In Attacks Around Sitapur
Dog Puppy Vaccination Schedule Dog Vaccination Costs
Blue Dogs Spotted In India Animals Changing Colour After
Why India S High And Mighty Like Golden Retrievers The
Corona Virus In India Medical Check Ups At Airports
Dog That Bit 25 In Pakistan Dead Times Of India
The Man Who Kills Stray Dogs In India S Kerala Bbc News
Pdf Canine Parvovirus Current Perspective
Army Dog Dutch Dies At 9 Real Hero In Service To Nation
A Woman S Limbs Were Amputated After Her Dogs Licked Her And
Adopt A Pet At The Great Indian Breed Carnival
An Indian Became The First Foreigner To Contract Coronavirus In China
Bengaluru Missing Dog Worth Rs 8 Crore Returns To Owner
Six Kids Killed By Packs Of Stray Dogs In The Same Town In
South Korea Turning Away From Dog Meat Trade
The Man Eating Stray Dogs Of Punjab India News
Cruelty Against Stray Animals On The Rise In India Amid Lack
Karnataka S Mudhol Hound To Be First Indian Dog Breed
Parvovirus Infection In Your Dog
Chennai Rs 100 Fine For Dog Owners Who Leave Dog Poop On

Belum ada Komentar untuk "Coronavirus In Dogs In India"
Posting Komentar